Mein Leben mit Lymphy

Blog 1

Es ist etwas in mir, was nicht zu mir gehört!

Hoffnung ist die Fähigkeit, die Musik der Zukunft zu hören.

Glaube ist der Mut, in der Gegenwart danach zu tanzen.

Peter Kuzmic

Klärungsphase

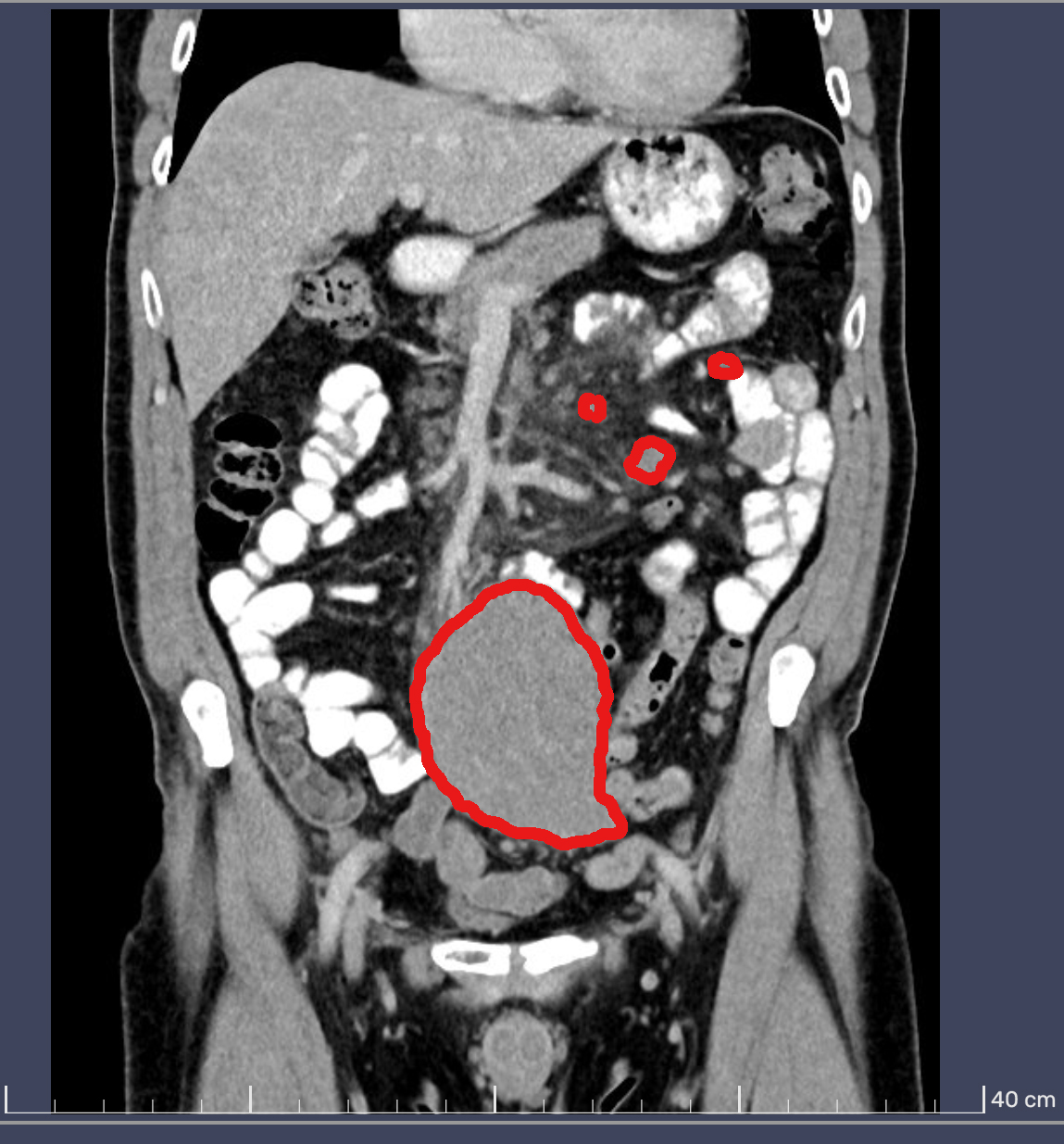
Datum:  20.12.2022

Befund CT

Verdacht Lymphom

Radiologie NURAMED

Wir werden den Krebs besiegen!

Die Diagnose und die Bilder von der Computerturmographie schrecken mich nicht ab. Es ist gut, dass durch den Zufallsbefund die Lymphome erkannt wurden.  Meine Frau fragte, den Urologen, ob er noch mal ein Blick auf die Nieren werfen könnte. Schon einige Monate trat

Vino

Beauty & Cosmetic Products

Made Only From Organic Materials

Lorem ipsum dolor sit amet, consectetur adipiscing elit, sed do eiusmod tempor incididunt ut labore et dolore magna aliqua. Ut enim ad minim veniam, quis nostrud exercitation ullamco laboris nisi ut aliquip ex ea commodo consequat.

Look Younger 
With Our Skincare Products.

Lorem ipsum dolor sit amet, consectetur adipiscing elit, sed do eiusmod tempor incididunt ut labore et dolore magna aliqua. Ut enim ad minim veniam

Superfast Product Delivery System

Lorem ipsum dolor sit amet, consectetur adipiscing elit, sed do eiusmod tempor incididunt ut labore et dolore magna aliqua. Ut enim ad minim veniam, quis nostrud exercitation ullamco laboris nisi ut aliquip ex ea commodo consequat.

Easy to Shop

Lorem ipsum dolor sit amet, consectetur adipiscing elit, sed do eiusmod tempor incididunt

Best Brands

Lorem ipsum dolor sit amet, consectetur adipiscing elit, sed do eiusmod tempor incididunt

Good For Skin

Lorem ipsum dolor sit amet, consectetur adipiscing elit, sed do eiusmod tempor incididunt

Our Products

Lorem ipsum dolor sit amet, consectetur adipiscing elit, sed do eiusmod tempor incididunt ut labore et dolore magna aliqua.

Have Dry, Dead Hair? Not Anymore.

Lorem ipsum dolor sit amet, consectetur adipiscing elit, sed do eiusmod tempor incididunt ut labore et dolore magna aliqua. Ut enim ad minim veniam, quis nostrud exercitation ullamco laboris nisi ut aliquip ex ea commodo consequat.

Subscribe Our Newsletter.

Lorem ipsum dolor sit amet, consectetur adipiscing elit, sed do eiusmod tempor incididunt ut labore et dolore magna aliqua.